
特徴
足の外科とは、足首から足のゆびまでの様々な問題(変形や痛みなど)をお持ちの患者様を保存治療(リハビリ、装具、薬物療法)や手術で治療する整形外科です。日本人の生活様式の変化に伴って足の疾患は増加し、足の痛みで悩まれている患者さんは数多くおられます。
対象となる疾患は非常に多彩で、外反母趾や扁平足、変形性関節症などの変性疾患や、外傷による足部変形・機能障害、足関節捻挫・足関節靭帯損傷や腓骨筋腱脱臼などのスポーツ障害、関節リウマチなどの炎症性疾患などの治療を行っています。
治療について
リハビリテーションや装具療法(靴やインソール、サポーターなど)による保存療法と手術療法のどちらも等しく重要です。手術療法はリハビリテーションを行うことができない足に対する前段階の治療と考え、術後のリハビリテーションは特に重要です。年齢や性別に加え、活動度や生活習慣、職業、スポーツなどを考慮して、患者さまの生活の質を向上させるために最も適切な治療法を選択することが重要と考え、患者様とよく話し合い、様々な治療の組合せを提案しながら、丁寧な診療を心がけております。
手術療法は、治療期間の短縮(早期退院、早期社会復帰、スポーツ復帰)や術後の疼痛の軽減を目指し、関節鏡を用いるなど症例に応じて低侵襲な手術を行っております。靭帯損傷や骨折などの外傷やスポーツ障害に対する手術治療をはじめ、関節固定術や外反母趾矯正術など様々な手術を行っております。
研修目標
① 解剖
- 足関節や足部周囲の神経・血管の走
- 足関節や足部周囲の筋・腱・靭帯の走行
- 足関節や足部周囲へのアプローチ
② 足部足関節疾患の理解
- 変形性足関節症
- 距骨骨軟骨損傷
- 外反母趾
- 後脛骨筋機能不全と成人扁平足
- リウマチ足、足関節
- 強剛母趾
- 種子骨障害
- 足関節骨折
- 踵骨骨折
- 足関節外側靭帯損傷
- アキレス腱断裂
③ 保存療法の理解
- 靴選び
- 足底挿板、装具療法
- リハビリテーション
④ 手術手技の理解
- 骨接合術
- 骨切り術
- 関節固定術
- 人工関節置換術
- 関節鏡
- 腱縫合術、腱移行術
⑤ 臨床研究(学会発表)
- 国内、国際学会で発表
- 学会発表のデータをもとに論文作成
手術実績、代表症例
[足関節外側靱帯損傷 鏡視下靱帯修復術]


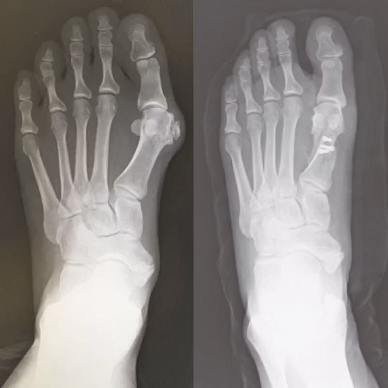
[外反母趾 水平骨切り術]

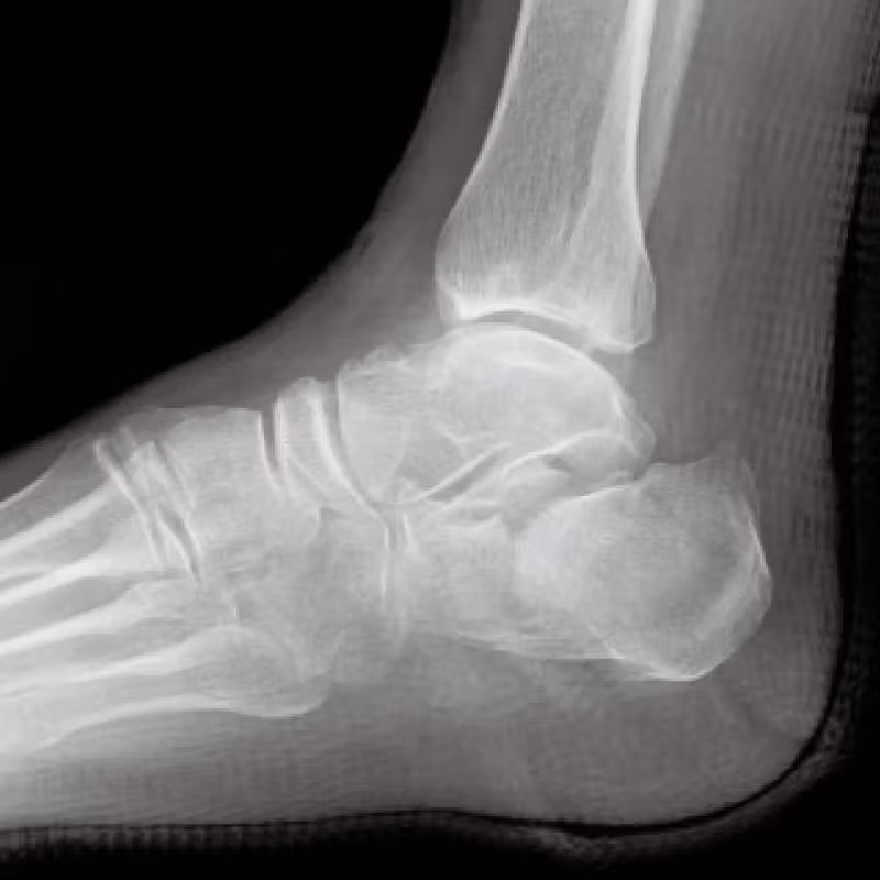
[踵骨骨折 骨接合術]












