長期的に安定した機能改善を目指して

股関節疾患では数十年におよぶ治療効果が求められており、関節温存手術・セメントレス人工股関節手術による長期に安定した股関節機能の改善を目指して、現在6人のスタッフで診療・研究・教育を行っております。
スタッフ:[教授]馬渡正明、[准教授]園畑素樹、[准教授]河野俊介(寄付講座:人工関節学講座所属)、[助教]藤井政徳、[助教]上野雅也、[助教]馬渡大介
“受診希望の方”は受付時間、担当医をご確認の上、ご予約下さい。
特徴
1998年9月に佛淵孝夫前教授就任後より、国内有数の股関節外科施設として、小児から成人の関節温存手術(寛骨臼移動術、大腿骨頭回転骨切術、大腿骨彎曲内反骨切術)と人工関節手術(セメントレス)を中心に診療を行っています。診療・研究テーマは、“診療の標準化”、“合併症の撲滅”、“高度医療を提供できる股関節センターとして難治症例の受け入れ”、“和式生活に対応した人工股関節の開発”です。
また、患者さんとの情報共有を目的に“股関節だより”を発刊しています。
研修到着目標
① 股関節周囲の解剖(アプローチの確認)
② 股関節疾患の理解(病態・原因・診断・治療)
- 寛骨臼形成不全症, 変形性股関節症
- 大腿骨頭壊死症, 急速破壊型股関節症
- 化膿性股関節炎, 単純性股関節炎
- ペルテス病, 大腿骨頭すべり症
- 外傷(大腿骨近位部骨折, 骨盤骨折)
③ 手術手技の理解
- THA, BHA (implantの選択は?)
- 寛骨臼移動術, 大腿骨頭回転骨きり術, 湾曲内反骨きり術
- 骨接合術(大腿骨, 骨盤創外固定)
④ 手術手技の実践
- 大腿骨近位部骨接合術, 骨盤創外固定挿入
- BHA (THA?)
⑤ 臨床研究(学会発表)
- 年間を通して一つのテーマの解析を行い地方・全国学会で発表
- 学会発表のデータをもとに論文作成
実績/治療例
股関節年間手術症例数

人工股関節手術
①初回人工股関節置換術

②人工股関節再置換術

人工股関節年間手術症例数

股関節温存手術
①寛骨臼移動術

②大腿骨頭前方回転骨切り術


股関節温存手術年間症例数

股関節鏡視下手術

股関節鏡下手術年間症例数

難治症例
①高位脱臼性股関節症
脱臼している股関節を原臼位(元の位置)に再建するために大腿骨の短縮骨きりを同時に行い人工股関節を設置します。

②強直股関節
過去の手術や疾患により関節が固定されている股関節に人工股関節手術を行い、ふたたび可動性のある股関節を再建します。

③高度臼蓋形成不全股
小児麻痺などにより、高度の形成不全・脱臼が認められる股関節に対し、同種骨移植を併用した寛骨臼移動術を行い、骨性被覆および骨量を回復します。



④人工股関節後感染
難治性の人工股関節置換術後感染に対し、抗生剤入りセメントモールドを使用した二期的再建術を行い、股関節機能を再建します。



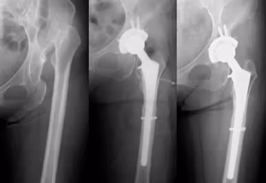
⑤人工股関節周囲骨折
人工股関節置換術後にその周囲の骨折が発生した場合、人工関節の存在から骨折部の固定が困難となります。また、骨折に伴い人工股関節のゆるみが発生した場合は、人工股関節再置換術が必要となります。


当科と京セラで共同開発した銀含有ハイドロキシアパタイト(Ag-HA)コーティングセメントレス抗菌人工股関節
2~3%の銀含有ハイドロキシアパタイトを2700℃のフレーム溶射法にて、セメントレス人工股関節表面にfull-coatingした世界初のセメントレス抗菌人工股関節。










