
概要
肩関節診療は泉政寛医師と伊藤恵里子医師の2人で担当し、外来日は月曜日、水曜日の午前中で泉政寛医師が行っています。肩関節班は腱板断裂、反復性肩関節脱臼、変形性肩関節症などの疾患を中心に治療を行っています。基本的な治療方針ですが、個々の患者様に合わせた治療を患者様自身と十分話し合いながらすすめていきます。その中で手術治療、保存加療を決定します。保存療法(リハビリテーション・投薬加療など)は上肢疾患の治療において重要な位置を占めており、近隣の病院と連携しながら診療を行っています。保存療法で改善が得られない場合には手術を考慮し、侵襲の少ない関節鏡や人工関節などによる手術を積極的に取り入れています。

肩関節は上腕骨頭とそれを支える肩甲骨関節窩から成り立っています。肩関節は人体の中で最も大きな動きが要求されるため、肩甲骨関節窩は上腕骨頭に比べて非常に浅く小さくなっており、肩甲骨関節窩の面積は上腕骨頭の1/3から1/4となっています。肩関節は全身の関節の中で最も不安定な関節といえます。大きな動きを保ちながら、不安定な骨構造に安定性をもたらすものとして筋・腱・靭帯が役立っています。
棘上筋、棘下筋、肩甲下筋、小円筋の4つは小さな筋肉群であり、肩甲骨の前・上・後部を走行して上腕骨頭に腱状の組織として付着します。これらは腱板と総称され上腕骨頭を包み込むように付着し、上腕骨を関節窩に引き付ける作用を持つことで、関節の安定性に寄与しています。肩関節は軟部組織が重要な役割を果たしており、肩の痛みの原因も軟部組織の損傷によるものが多いとされています。
手術実績、代表症例
[肩腱板断裂]
肩関節の安定性に重要な役割を果たしている腱板(棘上筋腱・棘下筋腱・肩甲下筋腱・小円筋腱)が断裂している状態です。腱板断裂は加齢性の変化で起こることが多く、発症年齢のピークは60歳代です。断裂を起こすと運動時痛や夜間痛を生じますが、挙上できることは多いです。治療は保存療法(内服や関節注射、リハビリ)をまず行います。保存療法を行っても疼痛改善がない場合や活動性が高い若年者は手術加療を行います。手術は関節鏡を用いて腱板の修復を行います。具体的にはアンカーといった糸のついたネジを上腕骨頭に挿入し、断裂腱に糸をかけて上腕骨頭に縫い付けます。断裂腱が骨に生着するのには時間がかかるため、術後は1ヶ月程度装具の固定が必要となり仕事の内容にもよりますが、仕事復帰には3~5か月程度かかります。

[反復性肩関節脱臼]
肩関節は非常に不安定な関節で人間の関節の中で最も脱臼しやすい関節です。若年(10代、20代)で初回脱臼をおこすと高率で反復性に移行します。反復性になると、日常生活に支障をきたしたり、将来的に変形性関節症を引き起こす危険性が高くなります。脱臼を制動している関節包と関節上腕靱帯が脱臼の際に靱帯の根元である関節唇ごと肩甲骨関節窩(受け皿)から剥がれています。関節窩にアンカーという糸付きのネジを挿入して、関節唇・関節上腕靱帯に糸をかけて関節窩に縫縮します。術後は三角巾固定を3週間程度おこない、6週間程度外旋動作は禁止します。日常生活は2~3ヶ月で復帰、スポーツ復帰は種目によりますが術後6ヶ月程度で復帰となります。

肩関節鏡手術症例

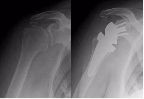
[人工肩関節置換術]
上肢人工関節は下肢関節とは違い体重のかからない関節ですので、痛みをとるだけではなく関節の動きを改善し、関節の機能をよくする目的で手術を行っております。関節軟骨が破壊された部位を切除し人工関節に置き換えます。腱板の機能が温存されている場合は、解剖学的な人工関節を選択し、腱板機能不全の患者様に対しては反転型の人工肩関節を用い機能改善を目指しております。
上腕骨頭壊死症に対する人工骨頭挿入術

変形性肩関節症に対する人工肩関節置換術(解剖型)

腱板断裂性関節症に対する人工肩関節置換術(反転型)

人工肩関節手術症例

研修目標
① 解剖
- 肩関節、肘関節、手関節のアプローチ
- 上肢神経の走行、神経支配
② 上肢疾患の理解
- 上肢絞扼性疾患(手根管症候群、肘部管症候群、胸郭出口症候群など)
- 手指変形性関節症(Heberden結節、Bouchard結節、母指CM関節症)
- 変形性肩関節症
- 肩腱板断裂
- 石灰沈着性腱板炎
- 反復性肩関節脱臼
- 外傷(上腕骨近位端骨折、橈骨遠位端骨折、肩甲骨骨折など)
③ 画像診断
- 単純レントゲン、CT、MRI、超音波検査
④ 術前計画
- 人工肩関節の設置位置、sizng
⑤ 手術手技
- 肩関節鏡、人工肩関節など
⑥ 学術活動
学術発表を年1回以上、論文執筆を年1本以上行えるように指導します。










