
POINT01
特徴
「Think globally, act locally!(地球規模で考え、地域で行動する)」をモットーに、当科の脊椎班は世界最先端の医療レベルを意識しながら、佐賀の地域医療に貢献しています。
私たちは「Your Dream, Our Mission」を掲げ、患者さんの希望を叶えること、整形外科を目指す若い医師の目標や夢を叶えることを私たちの使命とし、医療者の方々との連携を深め、より質の高い医療を提供することを目指しています。頭蓋骨から骨盤まで脊椎全域を対象とし、患者さん一人ひとりの症状や状態に合わせた最適な治療法を提供しています。
低侵襲手術から高度で複雑な手術まで幅広く対応し、高齢者や多様な合併症を持つ患者さんにも安全な医療を提供しています。手術の安全性向上のため、以下の最新医療設備を導入しています。
- 精密な手術を可能にするナビゲーションシステム
- 脊髄機能をリアルタイムで監視するモニタリングシステム
- 術前の精密なシミュレーション(3DCT、脊柱モデル作成、VR技術の活用)
臨床は、森本忠嗣教授、塚本正紹、吉原智仁、平田寛人、戸田雄の5名が担当しています。
POINT02
対象疾患・治療
脊椎疾患は、首の痛みや腰痛だけでなく、手足の痛み・しびれ、脱力、歩行困難、足のつり、長距離歩行時の下肢の痛み・しびれなど、多様な症状の原因となります。これらの症状がある場合は脊椎外来の受診をお勧めします。
当院で行っている主な脊椎手術は以下の通りです。
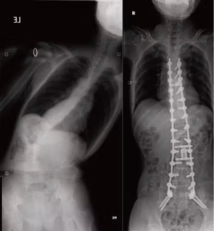
成人脊柱変形に対する矯正固定術
小児期側弯症の遺残、加齢に伴う椎間板変性による変性側弯症、椎体骨折後の変形などに対して、保存療法から手術療法まで対応しています。高齢患者さんには、二段階手術や身体への負担が少ない低侵襲固定手術、骨粗鬆症治療を組み合わせることで、合併症低減と効果的な矯正の両立を目指しています。

転移性脊椎腫瘍に対する手術治療
他の部位から転移した悪性腫瘍が多く、院内の腫瘍専門グループや放射線科と協力し、化学療法・放射線治療・手術を組み合わせた集学的治療を提供しています。経皮的脊椎固定術や骨セメントによる椎体形成といった低侵襲なものから、腫瘍切除や腫瘍脊椎骨全摘術(TES)まで多様な術式に対応しています。
腰椎変性疾患(腰部脊柱管狭窄症や腰椎すべり症など)に対する手術
神経を圧迫している骨の一部や肥厚した靭帯などを切除し、圧迫を取り除く手術です。術後の疼痛軽減、安静期間短縮、腰背部の筋肉・靭帯・骨など正常組織の温存を目的とした腰椎棘突起縦割式椎弓切除術を行っています。
腰椎のずれが大きい場合や不安定性が強い場合に、金属製のネジ(スクリュー)やロッドなどのインプラントを用いて不安定な腰椎を固定し安定させる手術です。多くの場合、除圧術と同時に行われます。

術後感染予防への先進的な取り組み
2020年4月より、京セラ株式会社と共同開発した日本初の抗菌コーティング技術を用いた脊椎固定用インプラント「Resitage(レジテージ)」を使用しています。Resitageは、インプラント表面に抗菌コーティングが施されており、細菌の付着抑制、増殖抑制効果(抗菌性)、骨癒合促進効果(骨伝導性)が期待されています。

XLIF(エックスリフ)
腰椎疾患に対する低侵襲手術で、体の側面(わき腹)から数cmの小さな切開でアプローチします。筋肉へのダメージが軽減され、術後の痛みが比較的軽く、出血量も少ない傾向にあります。痛んだ椎間板を取り除いたスペースに「ケージ」と呼ばれる箱型インプラントを設置し、神経の通り道を広げ(間接的除圧)、不安定な腰椎を固定し、背骨全体のバランス(アライメント)を整えます。原則翌日から歩行訓練が可能で、早期回復、早期社会復帰が期待できます。
腰椎椎間板ヘルニアに対する椎間板内酵素注入療法(ヘルニコア)
レントゲンで確認しながら、ヘルニアを起こしている椎間板内に特殊な酵素(コンドリアーゼ)を直接注入することで、神経への圧迫を和らげ、症状改善を目指す注射による治療法です。皮膚を切開する必要がなく、局所麻酔で施行可能で、体への負担が非常に少ないのが特徴です。当院では1泊2日の短期入院で実施し、約7割の患者さんで痛みが治療前の半分以下に軽減する良好な治療結果を得ています。
その他の主な脊椎手術は以下の通りです。
- 頚椎症性脊髄症:棘突起縦割式椎弓形成術
- 頚椎症性神経根症・筋萎縮症:椎間孔拡大術
- 環軸関節亜脱臼:後方固定術
- 低侵襲腰椎後方椎体間固定術(MIS-PLIF)(MIS-TLIF)
- 顕微鏡ヘルニア摘出術・内視鏡ヘルニア摘出術(MED)
- 脊椎骨折、感染性脊椎炎:脊椎(前方後方)固定術など
POINT03
診療実績
2011年には年間約100例だった手術数は、設備の充実とともに増加し、2017年には年間200例以上、2020年度には年間300例を超え、現在も年間約300例の手術を行っています。大学病院の特色を活かし、他科との緊密な連携を図り、多様な合併症を有する患者さんにも安全な手術を提供できるよう努めています。

POINT04
臨床研究
私たちは、臨床現場で得られた知見を研究として発展させ、学術的な情報発信を通じて間接的な医療貢献も推進しています。最新の研究成果を広く発信することで、全国から新たな情報が集まり、その成果を患者さんへ還元する好循環を作り出しています。
当科の臨床研究テーマは、転移性脊椎腫瘍、化膿性脊椎炎、成人脊柱変形、Hip-spine syndrome、脊椎疾患における骨粗鬆症・骨代謝異常に関する治療成績や疫学調査など多岐にわたります。
特に、基礎研究と臨床応用が直結した研究にも力を入れており、CT画像を活用した有限要素解析による脊椎疾患の病態評価や、抗菌性脊椎インプラントの開発を推進しています。特に銀を使用した抗菌インプラント「Resitage」は、京セラと当科の共同開発によって2020年4月に製品化され、現在では全国の大学と協力して多施設共同研究を展開しています。この研究は世界でも最先端の領域であり、感染予防における画期的な成果として国内外から注目されています。
また当科は学内の泌尿器科、肝臓内科、皮膚科など他診療科や、理工学部など他学部とも積極的に共同研究やコラボレーションを推進しており、企業との産学連携研究も緊密な協力体制を築いています。これらの幅広い連携を通じて、脊椎医療の最前線をリードし、常に臨床に直結した先進的な研究を行っています。

POINT05
研修の到達目標
当科では、医学生・研修医・専攻医の各レベルに応じて、以下の5項目に明確な目標を設定し、段階的かつ体系的な教育を行っています。当教室で脊椎外科医としての夢を追いかけ、次世代を担う医師として飛躍しましょう!
日常よく遭遇する疾患から緊急性が高く、見逃してはならない重篤な疾患まで多彩な症例を経験できます。迅速かつ的確な診断力を身につけ、実践的な治療判断ができるよう指導します。
上記同様に、多彩な症例の画像診断を通して、診断能力を向上させます。
一般的な管理方法はもちろん、多様な合併症を抱えた患者さんの管理や、緊急手術時の対応まで幅広く経験できます。高度医療機関ならではの複雑な症例を通じて、確かな対応力を養います。
研修医の段階で経皮的椎弓根スクリューの設置を習得できるようにします。専攻医ではさらに、神経ブロックや椎間板穿刺、定型的な除圧術、椎間板ヘルニア切除術など、多彩な手術手技を段階的に修得し、実践的なスキルアップを目指します。
専攻医が年間を通して自分の研究テーマを掘り下げ、地方・全国学会での発表から論文作成までを一貫して指導します。国際学会での発表も積極的にサポートしており、毎年複数名が海外での学会発表にチャレンジしています。医学生や研修医に対しても、症例報告やLetter投稿を奨励し、早い段階からアカデミックな視野を身につける機会を提供しています。










