― 股関節から足までつながる「下肢アライメント」の視点 ―
足関節や足の痛みを診るとき、その原因は必ずしも足だけにあるとは限りません。整形外科では、股関節から足部までを一つの機能単位として捉える「下肢アライメント(下肢の配列やバランス)」という考え方が重要です。
整形外科診療では、痛みのある部位だけを診ていては病態を十分に理解できないことがあります。人が立ったり歩いたりするとき、体重は股関節・膝関節・足関節へと連続して伝わります。そのため、どこか一つの関節に変形や機能障害があると、その影響は他の関節にも及びます。つまり下肢は、それぞれが独立した関節ではなく、一つの機能単位として連動して働いている運動器と考える必要があります。
このような関節同士のつながりを示す例として、佐賀大学整形外科でもこれまで研究されてきたhip-spine syndromeやcoxitis kneeという概念があります。
変形性股関節症では、股関節の変形や可動域制限により、脚長差、不良肢位、拘縮、強直などが生じることがあります。こうした変化によって歩行や姿勢のバランスが崩れると、腰椎や膝関節など隣接する関節に負担がかかり、腰痛や膝関節痛が出現したり、二次的な関節症が生じたりすることがあります。腰椎症状として現れるものをhip-spine syndrome、膝関節痛が生じるものをcoxitis kneeと呼びます。つまり、症状が出ている場所と実際の原因が一致しないことがあるという点が重要です。
同様の関係は膝関節と足関節の間にも存在します。例えば膝の変形性関節症では、内反膝(いわゆるO脚)が生じ、下肢の荷重軸が内側へ偏位します。この変化は膝関節だけでなく、足関節や後足部のアライメントにも影響を与えることがあります。その結果、膝の疾患であっても足関節痛を生じることがあります。
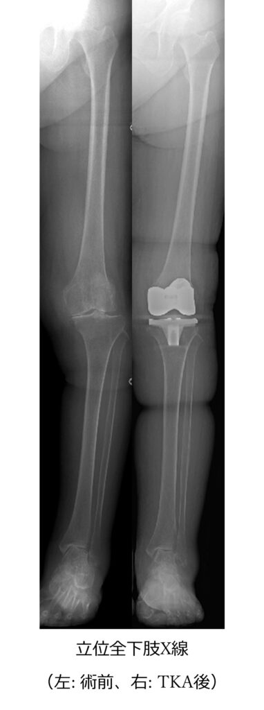
この関係は人工膝関節全置換術(TKA)の術後にも観察されます。TKAによって膝のアライメントが矯正されると、足関節や後足部のアライメントも変化します。多くは正常化の方向へ進み、術前に足関節痛のある方の多くは症状が改善します。しかし、一部の方にはその変化が症状改善につながらず、術後も足関節痛が残る症例があることがわかっています。
このような背景から近年では、膝や足関節の診療において全下肢立位X線によるアライメント評価が重要視されています。股関節から足部までの荷重軸を評価することで、単関節では理解できない病態が見えてくることがあります。 佐賀大学整形外科では、このような運動器の連動性に着目し、膝関節と足関節の相互関係についての研究や診療を行っています。足の痛みを診る際にも足だけを見るのではなく、膝や股関節を含めた下肢全体のアライメントを診ることは、正確な診断と適切な治療につながる重要な考え方です。






